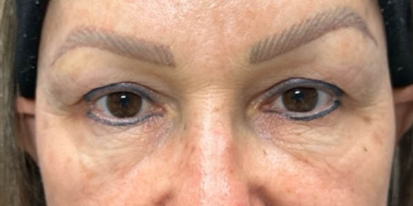
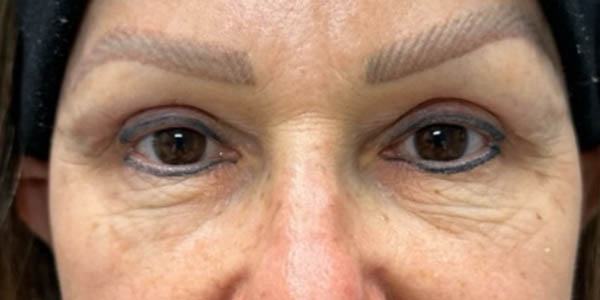
Patient Case #10566

DESCRIPTION:

Upper Blepharoplasty with Sub-brow filler


Schedule your consultation

Contact Us

Call SMS Contact Book
Schedule Consultation Online Booking