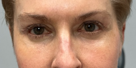
Brow Lift Before & After Photos

Schedule your consultation

Contact Us

Call SMS Contact Book
Schedule Consultation Online Booking